The multi-modality post-processing application is used to display, process, analyze, and quantify anatomical and functional images at one or multiple time points.
Cancer patients require constant vigilance. IntelliSpace Portal provides advanced visualization oncology tools to help you evaluate the stage and treatment response at multiple time points – and efficiently perform essential follow‑ups.
Advanced 3D and graphical tools help you store, present, and communicate clinical information to support diagnostic confidence and productive collaboration.
Quantifiable perfusion
CT Body Perfusion is intended for visualization, assessment and quantification of blood flow, blood volume, time to peak and peak enhancement using dynamic CT data. The application provides whole-organ or single-location liver, lung and kidney perfusion calculations.

Benefits
Advanced Liver segmentation
Automatically identifies, segments and quantifies the liver from the portal venous phase of a tri-phase liver scan and classifies the hepatic and portal veins.

Benefits
Assessing lung nodules over time
Enables review and analysis of thoracic CT images, providing segmentation, quantification and characterization of physician-indicated lung nodules. The application can be used in both diagnostic and screening evaluations, supporting Low Dose CT Lung Cancer Screening*

Benefits
* The screening must be performed within the established inclusion criteria of programs/protocols that have been approved and published by either a governmental body or professional medical society. Please refer to clinical literature, including the results of the National Lung Screening Trial (N Engl J Med 2011; 365:395-409) and subsequent literature, for further information.
** Based on patient and nodule characteristics for estimation of the probability that lung nodules detected on baseline screening low-dose CT scans are malignant. These functionalities may not be available in all territories. Please contact a Philips representative for more details.
Automated computer aid for lung nodule detection
Artificial second reader to support the detection of lesions or nodules which may have been missed. It offers an automated process that identifies and marks regions of interest based on image features associated with lung nodules. It is intended for use as a second reader after an initial interpretation of the diagnostic image has been performed.

Benefits
*CAD functionality not available for sale in the US.
Review spectral data in a range of not spectral-enhanced CT applications
Allows retrospective use of spectral data that was saved in a series of spectral base images (SBI). The fast launch of LMG allows review and identification of the most relevant results to be launched into the application for further analysis.

Benefits
Inspection of tumors, as contrast enhanced, soft tissue oriented, and whole-body scans
Assists clinicians in viewing and evaluating CT images acquired on the IQon CT scanner for the inspection of tumors, as contrast enhanced, soft tissue oriented, and whole-body scans. It supports lesion viewing and analysis based on different spectral data types such as iodine density maps or virtual non-contrast-enhanced images.

Benefits
IQon Spectral CT* Functionality
The spectral viewer is optimized for analysis of spectral data sets from the IQon Spectral CT Scanner. Obtain a comprehensive overview of each patient quickly and easily, quantify quickly, and assist in diagnosis. It is designed to accommodate general spectral viewing needs with additional tools to assist in CT images analysis.

Benefits
* IQon CT reconstruction provides a single DICOM entity containing sufficient information for retrospective analysis - Spectral Base Image (SBI). SBI contains all the spectrum of spectral results with no need for additional reconstruction or post-processing. Spectral applications are creating different spectral results from SBI.
Automatically detect potential polyps in CT colonography exams
VC VeraLook CAD* uses image processing and pattern recognition technology identify colon polyps in CT colonography images, which can help streamline the reading process and improve workflow for radiologists while supporting accuracy, consistency and productivity in colon cancer screenings. Indicated for use as a second read, VeraLook is designed to enhance clinician accuracy and efficiency.

Benefits
* VeraLook is a trademark of iCAD inc. for sale only in the US.
Enables 3D visualization of colon scans. The application automatically segments the air-filled colon and displays a calculated navigation path. The Perspective Filet view provides a synchronized display of the full colon surface wall with a single unidirectional view, reducing the need to review in both directions.

Benefits
* CAD functionality is not available for sale in the USA.
Streamlined modeling workflow
Allows to view volumetric images of anatomical structures, perform segmentation, edit and combine segmented elements (tissues) into a 3D model.

Benefits
*3D models are not intended for diagnostic use.
Streamlined workflow for follow up and analysis of oncology patients
MMTT is a post processing software used to display, process, analyze and quantify anatomical and functional images, for CT, MR, PET/CT, SPECT/CT and Dual Energy CT at one or multiple time points.

Benefits
Semi-automatic tumor quantification
This semi-automated 3D (Volumetric) tumor response assessment tool, based on EASL (European Association for the Study of the Liver) criteria incorporates functional information from contrast-enhanced scans.

Benefits
Computed diffusion weighted images at a b-value of choice
The application is intended to view, process and analyze MRI Diffusion Weighted Images. It calculates and displays cDWI at a
b-value of choice (from 0 to 5,000 s/mm2) and provides advanced supportive analysis and visualization tools of diffusion MRI images and parametric maps.

Benefits
Next generation of breast care
Tailored to enhance the review and analysis of MRI breast studies by providing a flexible workspace with custom hanging protocols and multi-vendor** viewing capabilities. DynaCAD’s automatic segmentation allows on-the-fly user modification and provides volume analysis, lesion composition statistics, histograms, and a 3D rendered morphological overview.

Benefits
* Not available for sale in all countries. Please contact local Philips representative for details. This functionality is not available in IX Workstation configuration. ** Please contact a local Philips representative for details on multi-vendor coverage.
DynaCAD is a registered trademark of Invivo Corporation.
Advanced prostate image analysis
Provides a powerful, easy-to-navigate, multi-vendor** MR image analysis application featuring custom hanging protocols with images synchronized for easy, multi-parametric review. DynaCAD features automatic segmentation of the prostate gland, providing an overall gland volume estimation.

Benefits
* Not available for sale in all countries. Please contact local Philips representative for details. This functionality is not available in IX Workstation configuration.
** Please contact local Philips representative for details on multivendor coverage.
DynaCAD is a registered trademark of Invivo Corporation.
Automatic review of total body MR data
MR MobiView, an option within the Multi Modality Viewer, automatically combines "stitches“ images from multiple acquisitions of the same examination to create one overall volume.

Benefits
Lesion characterization by reviewing vascular leakage
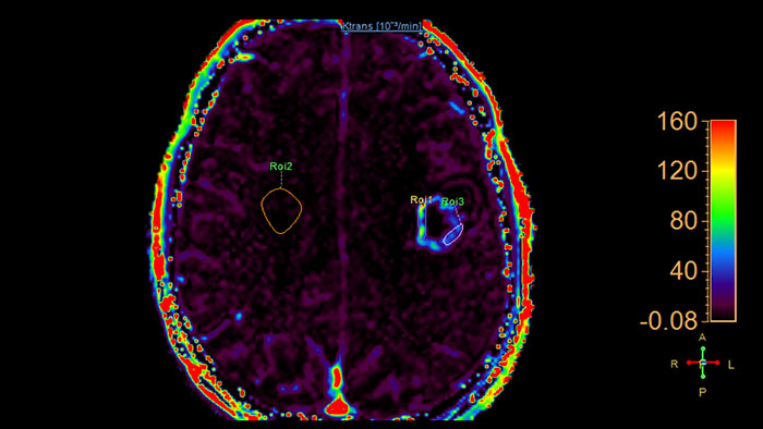
Designed to visualize T1 weighted DCE 3D datasets and assist in analyzing the tissue response.

Benefits
Review metabolite maps
MR SpectroView is a task-guided application providing hydrogen single voxel spectra as well as metabolic and ratio maps. It automatically identifies the anatomy to preselect appropriate metabolites or supports user-defined combination of metabolites.

Benefits
Perform basic calculations between two volumes
Enables basic calculations between two volumes, including addition, subtraction and ratio from within a single dynamic series.

Benefits
Support in assessing lesions by reviewing blood supply characteristics
Designed to evaluate time intensity curves of a T1 signal enhancement series. The application produces measurements including relative enhancement, maximum enhancement, time to peak (TTP), and wash-in/wash-out rates.

Benefits
Enhanced user experience for NM reading with a leading NM viewing solution
A comprehensive NM solution, designed to enhance productivity of PET/CT and NM reading. It offers a solution for handling multiple studies requiring rigorous quantification of MV data**.


Benefits
* Mirada is a registered trademark of Mirada inc.
** Please contact local Philips representative for details on multivendor coverage.
Comprehensive reviewing tool for multiple modalities, all in a single viewer
The Multi Modality Viewer (MMV) now supports viewing and post processing of angiography images and series. Review and perform analysis of angiographic imaging alongside other modalities for a comprehensive review of the patient case. Perform vascular processing of images (Digital Subtraction Angiography) – subtraction, pixel shifting and land marking. Include key images into the generic MMV report. Prior to the intervention, relevant diagnostic (MR and or CT) data can be bookmarked and automatically retrieved upon patient selection in the Allura, or the Azurion suites.

Benefits
You are about to visit a Philips global content page
Continue