EN
AR
Reviewing spectral images

It's not just CT.
It's spectral-detector CT.

Experience the simplicity of spectral-detector CT

    Zero compromise


    With detector-based spectral, you acquire multiple layers of data—conventional and spectral—within a single exposure and without special scan modes for improved tissue characterization and visualization.

    Learn more about detector-based spectral at the Learning Center.

    Conventional CT Spectral CT

    It's not just CT, it's...

    Single scan needed

    Scan as usual

    A single scan for fast, low-dose conventional and spectral data for every patient, every time.

    Spectral always available

    Always available

    100% spectral, 100% of the time for results that are always available on-demand, even retrospectively.

    Reduced follow-up exams

    Reduced follow-up exams

    Improved tissue characterization and visualization may reduce the need for follow-up scanning for sub-optimal exams and incidental findings.

    Wide range of patient types

    Across patient types

    Benefits a wide range of patient types from pediatric to bariatric.

    Can you solve the mystery diagnosis using spectral?


    Go beyond conventional CT. See how layers of spectral-detector results can enhance your diagnostic confidence.

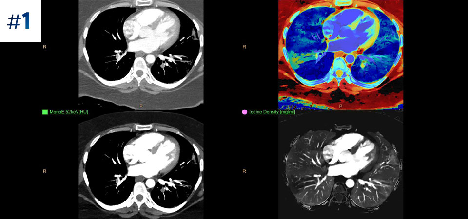
    Chest for PE

    Left atrial appendage

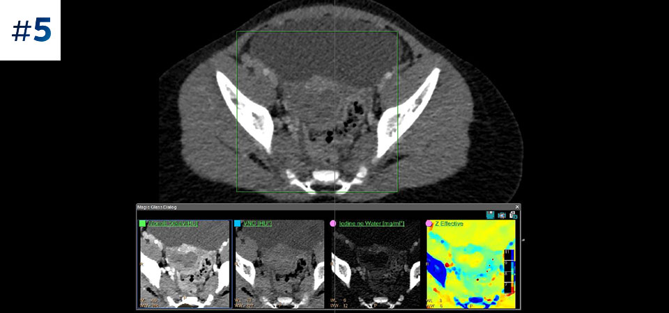
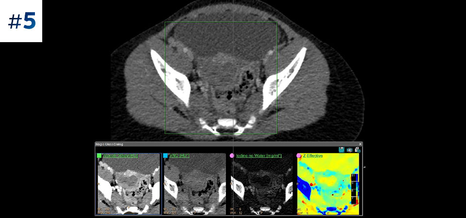
    Abdomen pelvis

    Pediatric abdomen

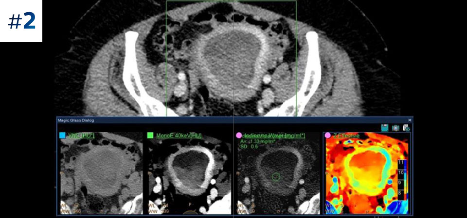
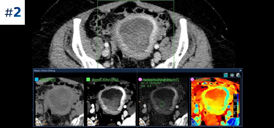
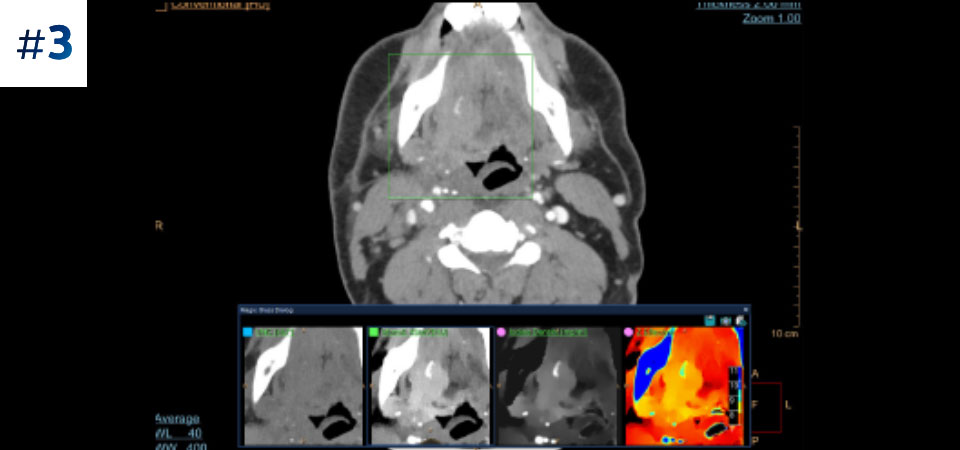
    Neck mass

    Ready to see if you're right?

    Check your answers here

    Spectral CT

    It’s not just CT. 
    It’s spectral results without compromise.

    Experience the simplicity of spectral-detector CT.

    Learn more about spectral-detector CT

    Spectral vs conventional

    See the difference between spectral-detector CT and conventional CT

    Spectral-detector whitepaper

    Learn about the advantages of spectral-detector CT

    Spectral CT image

    Re-experience the Philips 2020 spectral CT virtual summit

    CT image analysis

    Discover all CT solutions

    We are always interested in engaging with you.

    Let us know how we can help.

    1
    Select your area of interest
    2
    Contact details

    You are about to visit a Philips global content page

    Continue

    You are about to visit a Philips global content page

    Continue

    Our site can best be viewed with the latest version of Microsoft Edge, Google Chrome or Firefox.